Implantes Dentales en Viladecans
Recupera tus dientes perdidos con el mejor tratamiento de implantes dentales en Viladecans
La implantología es la mejor opción para reemplazar las piezas dentales perdidas y no perder la función y la estética dental. En Clínicas Vela-Segalà, el Dr. Xavier Vela, reconocido especialista en implantología, y su equipo médico te ayudarán a recuperar tu sonrisa.

No es sólo estética
Queremos ayudarte a recuperar la funcionalidad total de tu boca y frenar la degeneración de hueso.
Recupera tu sonrisa
Restituimos tu sonrisa con resultados naturales y estéticos
Función masticatoria
Recupera la capacidad de masticar y pronunciar con claridad
Frena la pérdida ósea
Evita la reabsorción ósea y mantén la estructura facial
Con el tiempo, la falta de dientes te provocará dificultades al masticar o al pronunciar palabras con claridad y la reabsorción ósea avanzará inevitablemente.
Podemos solucionar esto con un tratamiento de implantes dentales en Viladecans.
Pedir Cita AhoraBeneficios de los Implantes Dentales
Función completa
Recuperas la función masticatoria por completo al recuperar las piezas perdidas
Estética natural
Restituimos tu sonrisa con resultados indistinguibles de dientes naturales
Protege tus dientes
Los dientes naturales contiguos no se dañan ni se tallan
Proceso sencillo
Tratamiento rutinario e indoloro con anestesia local o sedación
Así Colocamos un Implante Dental en Nuestra Clínica de Viladecans
Estudio previo en profundidad
Diagnóstico dirigido por el Dr. Vela, eminencia en implantología. Realizamos un escáner 3D completo para visualizar la forma y tamaño del hueso.
Colocación del implante
Es un proceso quirúrgico rutinario e indoloro con anestesia local. Duración: 30-60 minutos por implante.
Cicatrización y cuidados
Osteointegración del tornillo implantado con el hueso. Proceso natural que tarda 2-4 meses.
Colocación de la corona
Tu nuevo diente definitivo. Corona cerámica personalizada con estética y función perfecta.
Revisiones periódicas
Para garantizar el éxito a largo plazo. Verificamos el hueso, ajustes y la salud de la encía.
Análisis Previo al Tratamiento
Nuestra clínica cuenta con la más novedosa tecnología, que permite realizar un correcto diagnóstico con tecnología 3D. De esta forma podemos visualizar tanto la forma, como el tamaño del hueso y de las futuras piezas.
En Clínica Dental Vela-Segalà, el Dr. Vela, reconocido especialista en implantología, analiza cada caso para ofrecer a nuestros pacientes el mejor tratamiento, siempre basándose en numerosos estudios y aplicando las técnicas más innovadoras.
Incluye en tu primera visita:


Recupera tus Dientes en Menos de 24 Horas
Reemplazar uno o varios dientes de manera inmediata y recuperar la sonrisa en el día es posible gracias a los implantes de carga inmediata, un proceso donde el implante dental se coloca en la misma cita en la que se extrae el diente que se debe reemplazar.
En nuestras clínicas dentales de Viladecans somos especialistas en implantes dentales inmediatos, pudiendo colocar la prótesis el mismo día gracias a la cirugía orientada por ordenador.
Ventajas de los implantes inmediatos:

Sedación Consciente
Como especialistas en el cuidado y la atención médica, comprendemos que este proceso pueda generar miedo en algunas personas. Por eso ofrecemos la posibilidad de utilizar sedación intravenosa para que el paciente esté relajado en todo momento.
La sedación se lleva a cabo mediante fármacos sedantes que se introducen por vía intravenosa para controlar la ansiedad y que el paciente no sienta ningún tipo de miedo ni malestar.
En las clínicas dentales Vela-Segalà de Viladecans contamos con expertos anestesistas que harán que tu experiencia con nosotros sea agradable y satisfactoria.
Beneficios de la sedación consciente:

Casos Clínicos de Nuestro Tratamiento de Implantes Dentales en Viladecans
Casos reales de pacientes tratados en nuestra clínica. Desliza el control para ver el antes y el después.
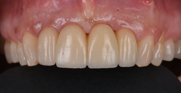
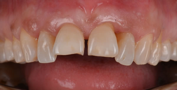
Implantes en sector anterior y prótesis BOPT sobre implantes
Rehabilitación completa del sector anterior con implantes dentales y prótesis cerámica BOPT, logrando resultados naturales y predecibles.


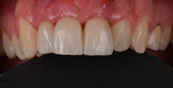
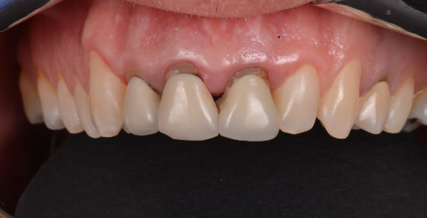
Rehabilitación con implantes
Tratamiento completo de implantología dental con resultados estéticos y funcionales excepcionales. Rehabilitación total mediante implantes dentales premium.


¿Quieres resultados como estos?
Pide tu primera visita y te haremos un estudio personalizado con escáner 3D para planificar tu tratamiento de implantes dentales.
Pedir CitaTecnología e instalaciones para implantología
Planificamos y ejecutamos cada implante con la tecnología más avanzada y un equipo especializado de primer nivel.






Preguntas Frecuentes sobre Implantes Dentales
Resolvemos las dudas más habituales sobre implantes dentales en Viladecans.
¿Cuánto cuesta un implante dental en Viladecans?
El precio de un implante dental en nuestra clínica de Viladecans depende del tipo de implante, la marca (Straumann, Nobel Biocare), si es necesario realizar injerto de hueso y el tipo de corona. Utilizamos únicamente implantes de marcas premium con certificación internacional. En la primera visita te daremos un presupuesto detallado y personalizado sin compromiso, adaptado a tu caso específico.
¿Cuánto dura el tratamiento de implantes dentales?
El proceso completo de un implante dental suele durar entre 3 y 6 meses. Primero se coloca el implante en el hueso (1 sesión de 30-60 minutos), luego esperamos 2-4 meses para que se integre completamente con el hueso (osteointegración), y finalmente se coloca la corona definitiva. En algunos casos podemos hacer carga inmediata el mismo día de la cirugía.
¿Es doloroso ponerse un implante dental?
No, el procedimiento se realiza con anestesia local efectiva, por lo que no sentirás dolor durante la colocación del implante. Después de la cirugía puede haber molestias leves durante 2-3 días que se controlan perfectamente con analgésicos comunes como ibuprofeno. La mayoría de nuestros pacientes en Viladecans nos dicen que fue mucho más fácil y menos doloroso de lo que esperaban. Además, ofrecemos sedación consciente para pacientes con miedo o ansiedad.
¿Cuánto duran los implantes dentales?
Con una buena higiene oral y revisiones periódicas en nuestra clínica de Viladecans, los implantes dentales pueden durar toda la vida. La tasa de éxito supera el 95% a 10 años. Los implantes Straumann y Nobel Biocare que utilizamos tienen estudios científicos que demuestran su durabilidad superior a 20 años. Es fundamental mantener una buena salud bucodental y acudir a las revisiones anuales.
¿Ofrecen financiación para implantes dentales?
Sí, ofrecemos financiación sin intereses hasta en 12 meses para tratamientos de implantes dentales. También disponemos de opciones de financiación a más largo plazo con cuotas muy cómodas. Te explicamos todas las opciones de pago y financiación en tu primera visita en Viladecans.
¿Qué marcas de implantes dentales utilizan?
En nuestra clínica dental de Viladecans utilizamos únicamente implantes dentales de las marcas líderes mundiales: Straumann (Suiza), Nobel Biocare (Suecia) y Zimmer (EEUU). Estas marcas ofrecen las mayores garantías de éxito, la mejor osteointegración y estudios científicos con más de 30 años de seguimiento. Todas ellas con certificación internacional y garantías de por vida.
¿Puedo ponerme dientes el mismo día?
Sí, somos especialistas en implantes de carga inmediata en Viladecans. En casos adecuados, podemos colocar el implante y la prótesis provisional el mismo día, para que salgas de la clínica con dientes. Esto es posible gracias a la cirugía guiada por ordenador y nuestra experiencia de más de 25 años en implantología.
¿Por Qué Retrasar Más Tu Nueva Sonrisa?
Queremos ponerte fácil la decisión. Pide tu primera visita en nuestra clínica dental de Viladecans y te haremos un estudio completo con escáner 3D, planificación digital y presupuesto detallado.
Especialistas en implantes dentales en Viladecans con más de 25 años de experiencia. Más de 10.000 implantes colocados con éxito. Financiación sin intereses. Dientes en el día.
Carrer de la Mare de Déu de Sales, 67, Viladecans • Financiación sin intereses • Garantía de por vida