Blanqueamiento Dental en Viladecans
¿Sabías que cuando sonríes reduces el nivel de estrés y contagias tu felicidad? No dejes que el color de tus dientes te impida sonreír.
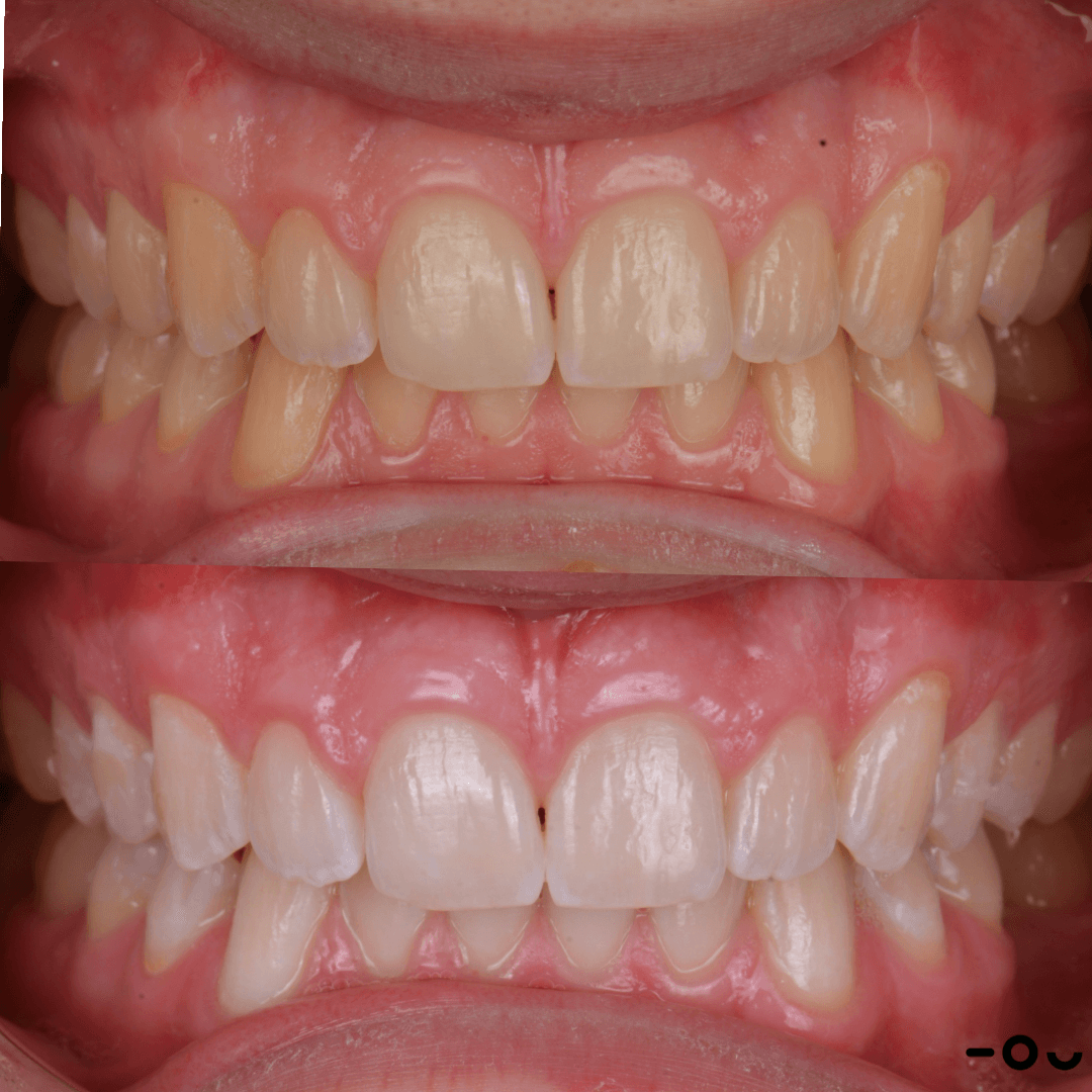
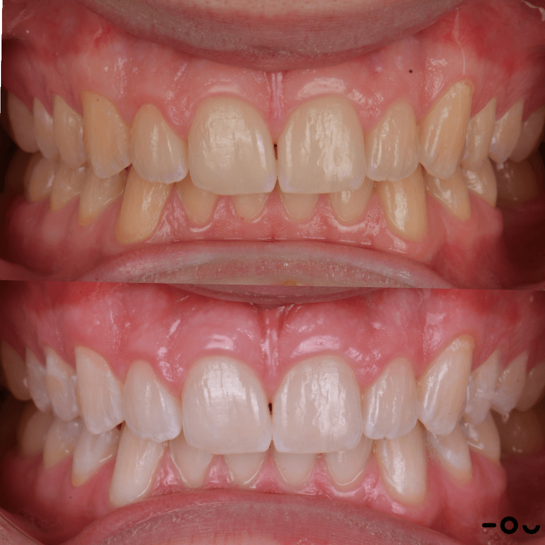
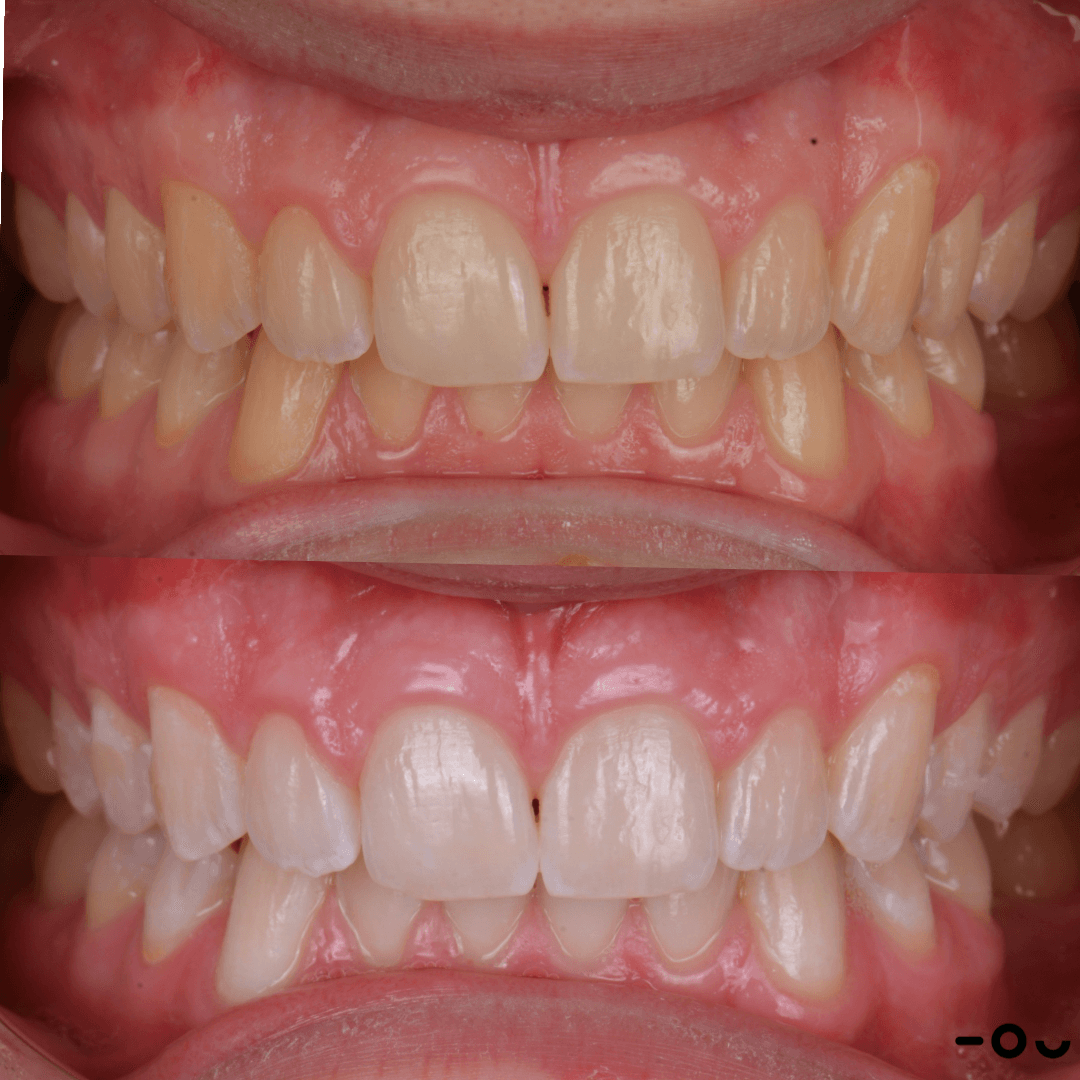
El blanqueamiento dental profesional en Viladecans es uno de los mejores tratamientos para mejorar el aspecto de tu sonrisa. En poco tiempo, aclaramos la tonalidad de tus dientes para que luzcas una sonrisa más blanca sin perder su naturalidad.
Tratamiento con lámparas LED de última generación. Elimina manchas causadas por café, té, vino, tabaco y envejecimiento. También ofrecemos blanqueamiento ambulatorio con férulas personalizadas para casa.

.jpg&w=3840&q=75&dpl=dpl_Gr89BsrddhrkPDDW1GT79qt7Jj9M)
¿Por Qué Mis Dientes Han Perdido Su Color Blanco?
El esmalte de nuestros dientes puede oscurecerse por diferentes motivos. Conocer las causas es fundamental para prevenir la decoloración dental.
Alimentos y bebidas con pigmentos fuertes: café, té, vino tinto, salsas oscuras, remolacha
Tabaco: amarillea los dientes con el tiempo
Sarro acumulado: por higiene dental deficiente
Algunos medicamentos: como las tetraciclinas
Descalcificación del esmalte
Envejecimiento natural de las piezas dentales
Con el blanqueamiento dental podemos aclarar varios tonos el color del esmalte y mejorar significativamente la estética de tu sonrisa.
Tipos de Blanqueamiento Dental en Viladecans
En Clínicas Vela-Segalà de Viladecans ofrecemos dos tipos de blanqueamiento dental profesional adaptados a tus necesidades. Nuestro objetivo es velar por tu bienestar y conseguir que vuelvas a disfrutar de tu sonrisa sin complejos.
Blanqueamiento en Clínica (LED/Fotoactivación)
El blanqueamiento dental en clínica es el más rápido y efectivo. Aplicamos gel blanqueador de peróxido de hidrógeno al 25-35% sobre tus dientes y lo activamos con lámparas LED de última generación. El proceso se repite en 3-4 ciclos de 15 minutos cada uno.
Ventajas: Resultados inmediatos en una sola sesión (45-60 minutos), dientes varios tonos más blancos, supervisión profesional, aplicación de desensibilizante.
Ideal para: Personas que quieren resultados rápidos, eventos especiales (bodas, celebraciones), manchas moderadas-severas por café, té, vino o tabaco.
Blanqueamiento Ambulatorio (Férulas en Casa)
El blanqueamiento ambulatorio se realiza en casa con férulas transparentes personalizadas fabricadas a medida en nuestra clínica de Viladecans. Aplicas el gel blanqueador de peróxido de carbamida al 10-16% en las férulas y las llevas puestas durante la noche o varias horas al día.
Ventajas: Más económico, menor sensibilidad dental, tratamiento gradual, control del resultado, férulas reutilizables para mantenimiento.
Ideal para: Personas con sensibilidad dental, que prefieren tratamiento gradual, manchas leves-moderadas, mantenimiento del blanqueamiento en clínica.
Blanqueamiento Dental en Casa
Tras el blanqueamiento en la clínica, proporcionamos al paciente un kit de blanqueamiento para aplicar en casa. Este kit contiene unas cubetas fabricadas a medida y gel blanqueador profesional.
Esta segunda fase del blanqueamiento dental a domicilio está supervisada por nuestros especialistas y ayuda a complementar los resultados del tratamiento en la clínica para obtener un resultado óptimo y duradero.
Ventajas del blanqueamiento en casa:
En las clínicas Vela-Segalà también ofrecemos consejos de higiene y cuidado dentalpara que realices un buen mantenimiento tras el blanqueamiento y los resultados se mantengan durante el mayor tiempo posible.

Cómo es el Proceso del Blanqueamiento Dental en Nuestra Clínica
Te explicamos paso a paso cómo realizamos el blanqueamiento dental en nuestra clínica de Viladecans. Un tratamiento profesional, seguro y completamente indoloro.
Diagnóstico y Limpieza Dental Profesional
El primer paso es comentar con el paciente sus expectativas y analizar qué factores han causado la decoloración del esmalte. Realizamos una revisión de su salud oral y, si es necesario, una limpieza dental profesional previa para eliminar el exceso de sarro acumulado y asegurarnos de que el blanqueamiento se ejecuta sobre una boca sana.
Protección y Aislamiento de Encías
Antes de empezar, protegemos y aislamos las encías. Aplicamos una resina protectora fotopolimerizable sobre las encías para aislarlas y evitar que el gel blanqueador las irrite. También protegemos los labios y la lengua para garantizar tu comodidad y seguridad durante todo el tratamiento.
Aplicación del Gel Blanqueador con Moléculas Activas
El blanqueamiento se realiza aplicando un gel que contiene moléculas blanqueadoras de peróxido de hidrógeno al 25-35%. Extendemos el gel sobre la superficie de los dientes. El gel actúa de forma interna en el esmalte y elimina las partículas que han provocado su decoloración.
Activación con Lámpara LED de Última Generación
Utilizamos una lámpara de luz LED que activa la liberación de estas moléculas blanqueadoras. La luz acelera la reacción química del blanqueamiento para obtener resultados más rápidos y efectivos. Repetimos este proceso en 3-4 ciclos de 15 minutos cada uno. Duración total: 45-60 minutos.
Tratamiento de Desensibilización
Aunque es un tratamiento completamente indoloro, puede provocar algo de sensibilidad dental temporal. Por ello, en nuestra clínica llevamos a cabo un tratamiento de desensibilización con flúor, potasio y calcio que ayuda a mitigar estos efectos con mayor rapidez y remineraliza el esmalte.

Sonreír Mejora Tu Autoestima e Inspira Confianza
Cuando sonríes reduces el nivel de estrés y contagias tu felicidad a las personas que te rodean. Aunque sonreír es algo que muchas veces hacemos de forma mecánica como reacción ante un estado de ánimo, hay veces que lo evitamos.
Especialmente si no nos gusta nuestra sonrisa o nos avergüenza el color de nuestros dientes. El blanqueamiento dental es uno de los mejores tratamientos que puedes hacerte para mejorar el aspecto de tu sonrisa.
Beneficios de una sonrisa blanca:
¡No te prives de sonreír! Recupera la confianza en tu sonrisa.
Cuidados Después del Blanqueamiento Dental
Para mantener los resultados del blanqueamiento dental en Viladecans el máximo tiempo posible, sigue estas recomendaciones:
✓ Recomendado
- Mantén excelente higiene oral: cepillado 3 veces al día y hilo dental
- Usa pasta dental blanqueadora con flúor para mantenimiento
- Bebe con pajita bebidas que manchan (café, té, vino)
- Enjuaga la boca con agua después de comer alimentos con colorantes
- Acude a limpiezas dentales profesionales cada 6 meses
✗ Evitar (primeras 48h)
- ❌ Café, té, vino tinto, refrescos de cola
- ❌ Tabaco (manchador principal)
- ❌ Alimentos con colorantes intensos: remolacha, curry, salsa de soja, ketchup, mostaza
- ❌ Frutas rojas: arándanos, moras, cerezas
- ❌ Zumos de frutas oscuros
- ❌ Chocolate oscuro
- ❌ Vinagre balsámico
Durante 48 horas después del blanqueamiento, los dientes son más susceptibles a mancharse. Evita estos alimentos o bebidas en este período crítico.
Dientes Varios Tonos Más Blancos en una Sola Sesión
El blanqueamiento dental profesional en nuestra clínica de Viladecans consigue resultados inmediatos y visibles desde la primera sesión. Notarás cómo tus dientes se aclaran varios tonos en solo 45-60 minutos.
Los resultados son duraderos entre 1-3 años dependiendo de tus hábitos de higiene oral y alimentación. Con un buen mantenimiento y siguiendo nuestros consejos, tu sonrisa se mantendrá blanca y brillante durante mucho tiempo.
¿Qué esperar del tratamiento?

Preguntas Frecuentes sobre Blanqueamiento Dental
Resolvemos las dudas más habituales sobre blanqueamiento dental en Viladecans.
¿En qué consiste el blanqueamiento dental profesional?
El blanqueamiento dental profesional en nuestra clínica de Viladecans utiliza gel blanqueador de peróxido de hidrógeno o peróxido de carbamida en concentraciones controladas. Se aplica sobre los dientes y se activa con lámparas LED de última generación. El proceso dura 45-60 minutos y consigues dientes varios tonos más blancos en una sola sesión. También ofrecemos blanqueamiento ambulatorio con férulas personalizadas para usar en casa.
¿Cuánto dura el resultado del blanqueamiento?
Los resultados del blanqueamiento dental profesional pueden durar entre 1-3 años dependiendo de tus hábitos. Si fumas, consumes mucho café, té, vino tinto o alimentos con colorantes, la duración será menor. Con buena higiene oral y evitando sustancias que manchan los dientes, los resultados se mantienen más tiempo. En nuestra clínica de Viladecans te damos consejos para prolongar el blanqueamiento.
¿El blanqueamiento dental es seguro?
Sí, el blanqueamiento dental profesional realizado en nuestra clínica de Viladecans es totalmente seguro. Utilizamos productos certificados y concentraciones controladas que no dañan el esmalte dental. Antes del tratamiento evaluamos el estado de tus dientes y encías para asegurarnos de que eres candidato. El blanqueamiento casero de farmacia o remedios caseros pueden dañar el esmalte y las encías.
¿El blanqueamiento causa sensibilidad dental?
Puede haber sensibilidad dental temporal durante 24-48 horas después del blanqueamiento, pero desaparece rápidamente. En nuestra clínica de Viladecans aplicamos gel desensibilizante con flúor y potasio tras el blanqueamiento para minimizar las molestias. Si tienes sensibilidad previa severa, podemos hacer blanqueamiento ambulatorio con férulas en casa a concentraciones menores.
¿Qué manchas se pueden blanquear?
El blanqueamiento dental funciona muy bien para manchas causadas por edad, café, té, vino, tabaco y alimentos. Manchas intrínsecas por tetraciclinas o fluorosis también mejoran, aunque pueden necesitar más sesiones. Manchas por amalgamas o restauraciones dentales no se blanquean (las restauraciones se pueden reemplazar después). En Viladecans evaluamos tu caso en la primera visita.
¿A qué edad se puede hacer blanqueamiento dental?
Recomendamos hacer blanqueamiento dental a partir de los 18 años, cuando el esmalte dental está completamente formado. No se recomienda en embarazadas ni en período de lactancia. Tampoco en personas con caries activas, enfermedad periodontal severa o sensibilidad dental extrema hasta resolver estos problemas. En nuestra clínica de Viladecans evaluamos si eres candidato.
¿Por Qué Esperar Más para Lucir una Sonrisa Radiante?
En Clínicas Vela-Segalà de Viladecans queremos que vuelvas a disfrutar de tu sonrisa sin complejos. Pide tu primera visita y te explicaremos cómo podemos ayudarte.
Blanqueamiento dental profesional en Viladecans. Tecnología LED avanzada. Resultados inmediatos en una sesión. Tratamiento seguro, indoloro y efectivo. Primera visita y valoración gratuita.
Carrer de la Mare de Déu de Sales, 67, Viladecans • Especialistas en estética dental • Tecnología LED de última generación