Clínica Dental de Referencia en Viladecans
Clínica dental en Viladecans con más de 15 años de experiencia internacional en implantología y estética dental. Los doctores Xavier Vela y Maribel Segalà dirigen nuestro equipo de especialistas.
Pioneros en la técnica BOPT en España y co-fundadores del BORG Center Barcelona. Especialistas en implantes dentales en Viladecans, ortodoncia invisible, estética dental, prótesis sobre implantes, periodoncia, odontopediatría y cirugía oral. Tratamientos personalizados con calidad y servicio de excelencia.
Tratamientos Dentales en Viladecans
Especialistas en cada área de la odontología con tecnología avanzada y primera visita gratuita. Tratamientos personalizados para toda la familia.
Implantes Dentales
Recupera tu sonrisa con implantes dentales de última generación en Viladecans. Más de 25 años de experiencia en implantología dental. Especialistas en implantes inmediatos y carga inmediata. Solución definitiva para reemplazar dientes perdidos con resultados naturales y duraderos. Pioneros en técnica BOPT.
Ortodoncia Invisible
Alinea tus dientes de forma discreta con ortodoncia invisible en Viladecans. Sistema Invisalign certificado. Ortodoncistas especializados con certificación internacional. Corrige la posición de tus dientes sin brackets metálicos. Resultados visibles desde el primer mes de tratamiento. También ortodoncia convencional para todas las edades.
Estética Dental
Mejora tu sonrisa con tratamientos de estética dental en Viladecans. Carillas dentales de porcelana, diseño de sonrisa digital DSD y reconstrucciones estéticas con composite. Especialistas en rehabilitaciones estéticas complejas. Transforma tu sonrisa con técnicas avanzadas y materiales de alta calidad certificados.
Blanqueamiento Dental
Consigue una sonrisa más blanca y brillante con blanqueamiento dental profesional en Viladecans. Tratamiento en clínica con lámparas LED de última generación. Seguro y efectivo. Resultados inmediatos que duran años. Elimina manchas y decoloración dental. También blanqueamiento ambulatorio personalizado.
Odontopediatría
Cuidado dental especializado para niños y bebés en Viladecans. Odontopediatra titulado con experiencia en tratamiento de bebés, niños y adolescentes. Ambiente adaptado y técnicas específicas para los más pequeños. Creamos experiencias positivas para que tus hijos cuiden su salud dental desde pequeños. Prevención de caries infantil.
Periodoncia
Tratamiento de encías y periodoncia en Viladecans. Periodoncista especializado en prevención y tratamiento de enfermedades periodontales como gingivitis, periodontitis y piorrea. Salva tus dientes con limpieza profunda, raspado, alisado radicular y regeneración de tejidos. Cirugía periodontal mínimamente invasiva.
Doctores de Referencia Internacional
Los doctores Xavier Vela y Maribel Segalà dirigen nuestra clínica con más de 15 años de experiencia. Pioneros en técnica BOPT y fundadores del BORG Center Barcelona.

Dr. Xavier Vela
Co-director de Vela-Segalà Viladecans
Co-fundador de BORG Center Barcelona
Especialista en rehabilitaciones estéticas y prótesis sobre implantes. Pionero en la técnica BOPT en España y ponente internacional en congresos de odontología.

Dra. Maribel Segalà
Co-directora de Vela-Segalà Viladecans
Co-fundadora de BORG Center Barcelona
Especialista en prostodoncia, estética dental y medicina estética facial. Autora de artículos científicos en colaboración con universidades internacionales.
¿Por Qué Elegirnos?
Clínica dental de referencia en Viladecans con más de 15 años cuidando de la salud bucodental de familias en la zona.
Más de 15 Años de Experiencia en Viladecans
Equipo de dentistas especializados con amplia trayectoria profesional en Viladecans y Barcelona. Formación continua en las últimas técnicas de odontología avanzada. Miles de pacientes satisfechos que confían en nuestra clínica dental para el cuidado de su salud bucodental.
Tecnología Dental de Última Generación
Equipamiento de vanguardia incluyendo escáner intraoral 3D, radiografía digital, microscopio dental y tecnología CAD/CAM para tratamientos más precisos, rápidos y cómodos. Invertimos constantemente en tecnología para ofrecer los mejores resultados a nuestros pacientes de Viladecans.
Primera Visita Dental Gratuita
Ofrecemos una primera visita completamente gratuita que incluye exploración completa, diagnóstico profesional y presupuesto detallado sin compromiso. Queremos que conozcas el estado de tu salud dental antes de tomar cualquier decisión sobre tu tratamiento.
Resultados Reales de Nuestros Pacientes
Casos reales tratados en nuestra clínica dental de Viladecans. Desliza el control para ver el antes y el después de cada tratamiento.
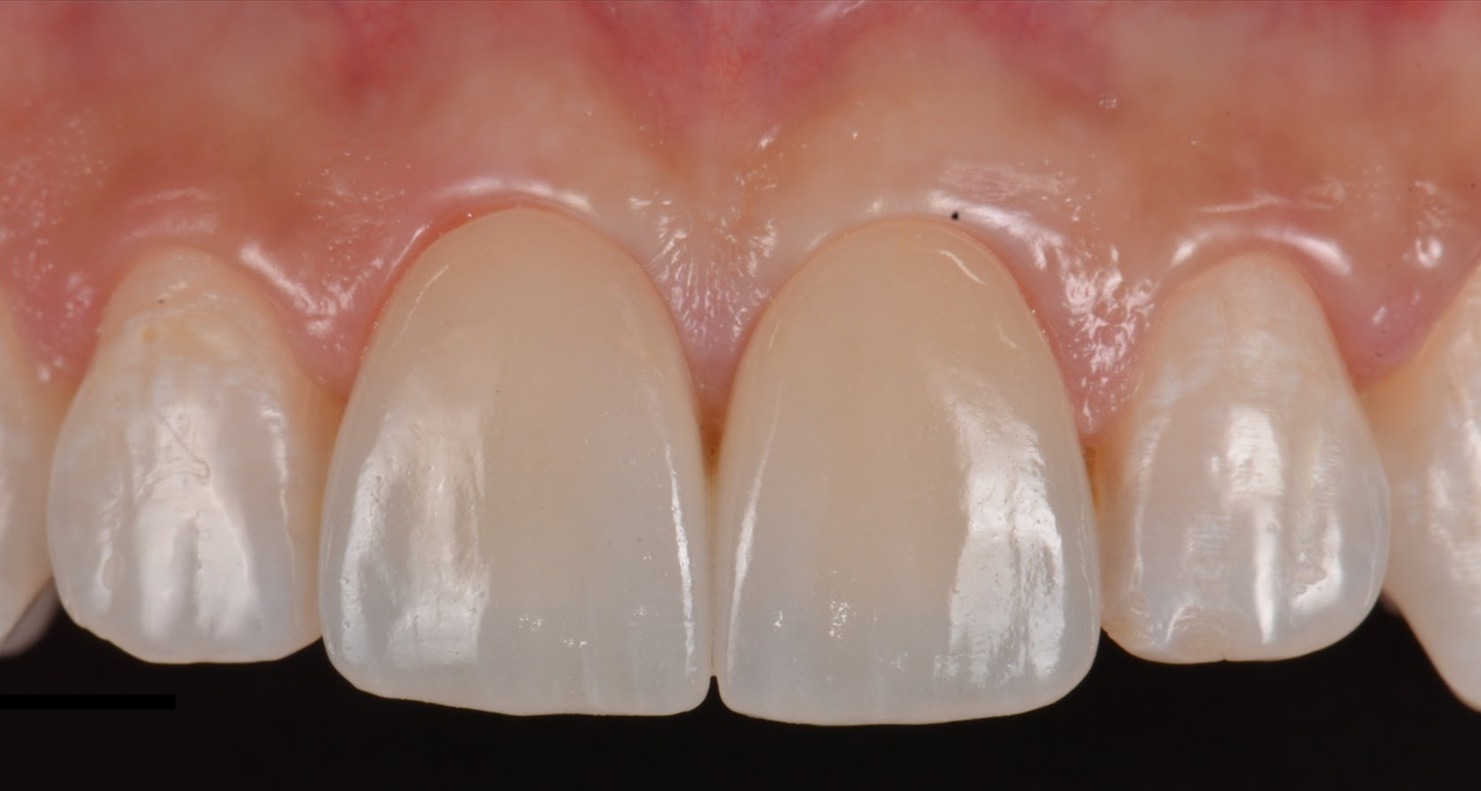
Caso 1: Carillas Dentales
Rehabilitación completa con carillas de porcelana. Transformación total de la sonrisa con resultados naturales.


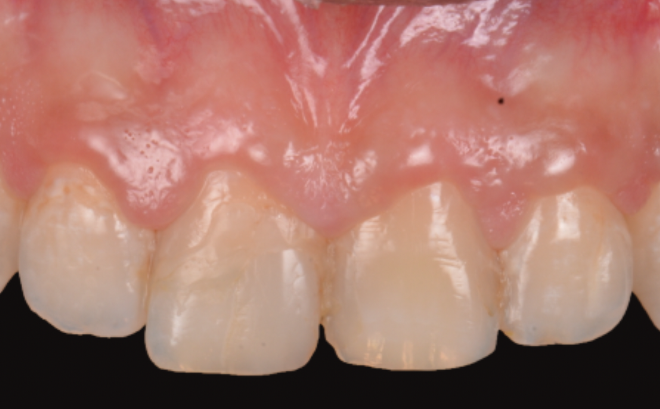
Caso 2: Sonrisa Gingival
Corrección de sonrisa gingival con estética periodontal. Mejora de proporciones y armonía dental.


Mostrando casos 1-2 de 6
Opiniones de Nuestros Pacientes
Lo que dicen nuestros pacientes de Viladecans sobre nuestra clínica dental
Excelente atención y profesionalidad. Los doctores Xavier y Maribel son muy cercanos y explican todo detalladamente. Me hicieron un implante dental y el resultado es perfecto. Las instalaciones son modernas y limpias. Muy recomendable la clínica.
La mejor clínica dental de Viladecans sin duda. Llevo años viniendo y siempre salgo contento. El trato es excepcional y se nota la experiencia de los doctores. La Dra. Maribel es una crack con los niños, mi hijo está encantado.
Me hicieron ortodoncia invisible Invisalign y estoy encantada con el resultado. Todo el proceso fue muy profesional, el seguimiento impecable y los resultados superaron mis expectativas. Totalmente satisfecha con el servicio.
Fui por una urgencia dental con mucho dolor y me atendieron el mismo día. El Dr. Vela solucionó mi problema rápidamente y con mucha profesionalidad. Personal muy atento. La clínica está muy bien equipada. 100% recomendable.
Clínica dental de 10. Me hicieron un blanqueamiento dental y quedé muy satisfecha con el resultado natural que conseguí. El trato es muy cercano y familiar. Se nota la dedicación y el cariño que ponen en su trabajo. Volveré sin duda.
Muy profesionales y con tecnología de última generación. Me pusieron carillas dentales y el resultado es increíble, mi sonrisa cambió por completo. La atención personalizada y el seguimiento post-tratamiento es lo que más valoro de esta clínica.
Llevo 10 años viniendo a esta clínica y nunca me han defraudado. Los doctores Vela y Segalà son excelentes profesionales. Trato humano excepcional, instalaciones impecables y resultados de primera calidad. Gracias por cuidar tan bien de mi salud dental.
Primera visita gratuita y sin compromiso. Me explicaron todo el tratamiento con mucha claridad y paciencia. Precios justos y facilidades de pago. Me hicieron un tratamiento de periodoncia y quedé muy contento. Clínica seria y profesional.
Cargando artículos...
Pide tu Cita en Viladecans
Primera visita gratuita con diagnóstico completo y presupuesto sin compromiso.